
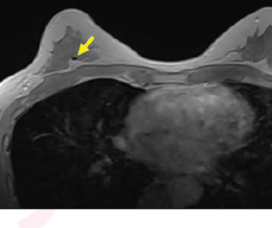
For some patients, identifying biopsy clips on breast magnetic resonance imaging (MRI) may be challenging due to variabilities in the size and shape of the biopsy clips, associated susceptibility artifacts and the types of sequences and acquisition parameters.
Based on the findings of a recently published study looking at four sequences to assess breast MRI for biopsy clips, researchers said the contrast-enhanced, in-phase Dixon sequence provided the highest sensitivity, contrast-to-noise ratio (CNR) and reader confidence in comparison to clinical sequencing techniques.
For the retrospective study, recently published in the American Journal of Roentgenology, researchers reviewed contrast-enhanced breast MRI exams from 164 women with a total of 281 breast biopsy clips. The study authors subsequently compared the contrast-enhanced, in-phase Dixon MRI sequence with three standard sequences including short tau inversion recovery (STIR); T1-weighted, non-fat-suppressed (T1W NFS) sequencing; and first phase sequencing from dynamic, contrast-enhanced T1W fat-suppressed (T1W FS) imaging.
The contrast-enhanced, in-phase Dixon sequence had an 85.1 percent pooled sensitivity rate in comparison to 78.2 percent for T1W NFS, 61.7 percent for T1W FS and 26.6 percent for STIR sequencing, according to the study. The researchers added that the contrast-enhanced, in-phase Dixon sequence also maintained similar positive predictive value (96.4 percent) in comparison to STIR (92.2 percent), T1W NFS (96.1 percent) and T1W FS (92.8 percent).
“The (contrast-enhanced in-phase Dixon) sequence resulted in significantly improved reader sensitivity at both the clip and breast level, as well as significantly improved reader confidence and CNR,” wrote Jay A. Baker, M.D., a professor in the Department of Radiology and chief of the Division of Breast Imaging at the Duke University Medical Center in Durham, N.C., and colleagues.
“However, this improved detection was not associated with a significant loss in PPV at the clip level or in specificity at the breast level. Thus, the (contrast-enhanced in-phase Dixon) sequence may reduce the need for radiologists to correlate with other imaging modalities to identify areas of prior biopsy when interpreting breast MRI examinations.”
Baker and colleagues also noted a higher mean contrast-to-noise ratio (CNR) with the contrast-enhanced, in-phase Dixon sequence (4.05) in comparison to T1W NFS (1.21), STIR (0.57) and T1W FS (0.54). They attributed the significantly higher CNR to administration of IV contrast and the absence of fat suppression.
“Fat suppression … is undesirable when identifying biopsy clips because it causes the fat in the breast to become hypointense and therefore closer in signal intensity to the biopsy marker clip,” pointed out Baker and colleagues. “In addition, the administered contrast media reduces anatomic noise by increasing the signal intensity of fibroglandular tissue to approach that of relatively hyperintense fat, thereby reducing the variability of signal intensities present in the underlying breast tissue.”
The researchers added that titanium clips contributed to the lowest reader confidence with T1W NSF and the contrast-enhanced, in-phase Dixon sequencing. The highest reader confidence with T1W NSF and the contrast-enhanced, in-phase Dixon sequencing was associated with stainless steel and BioDur 108 clips, according to the study.
In regard to study limitations, the authors noted that simultaneous review of the four imaging sequences may have influenced clip detection on a given sequence. Pointing out that all the breast MRI examinations were completed with 3T MRI, Baker and colleagues acknowledged that sequence comparisons may have different results with 1.5T MRI. The study also did not assess the impact of clip visibility on post-biopsy changes, breast density or the time interval between biopsy and MRI, according to the study authors.
"breast" - Google News
September 17, 2022 at 03:15AM
https://ift.tt/Y3MCvjx
Locating Biopsy Marker Clips on Breast MRI: What a New Study Reveals - Diagnostic Imaging
"breast" - Google News
https://ift.tt/OVmT5p0
https://ift.tt/n6OypKC
Bagikan Berita Ini
0 Response to "Locating Biopsy Marker Clips on Breast MRI: What a New Study Reveals - Diagnostic Imaging"
Post a Comment